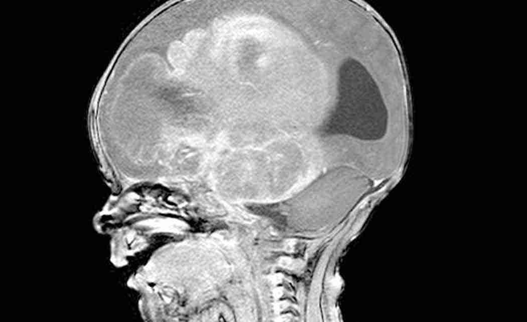
ANN ARBOR, Mich. (AP) _ The family of 4-year-old with an inoperable brain tumor has announced a new foundation to raise public awareness.
Chad Carr is the grandson of ex-Michigan football coach Lloyd Carr and son of ex-Wolverines quarterback Jason Carr.
Jason Carr and wife Tammi Carr say the Chad Tough Foundation will build on a research fund established last year when their son was diagnosed.
Tammi Carr says the foundation’s goal is to build a grassroots network to spread news about intrinsic pontine glioma, and to raise money for families dealing with the rare disease.
The Ann Arbor News (http://bit.ly/1c8bivL ) says the foundation will start with a 60-home garage sale June 4-6 in Washtenaw County’s Pittsfield Township.
The Saline Area Soccer Association and apparel-maker Adidas also plan to participate.
No Comment