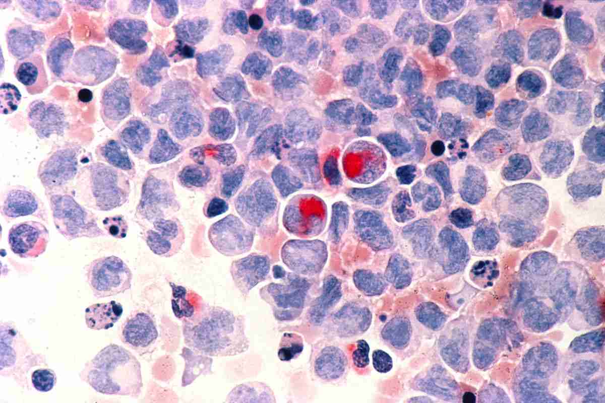
Cells with acute myelocytic leukemia (AML).
PHOTO COURTESY OF WIKIMEDIA
By LINDA A. JOHNSON
AP Medical Writer
U.S. regulators Friday approved the first targeted drug for certain patients with an aggressive form of leukemia.
The Food and Drug Administration approved the drug for adults with acute myeloid leukemia, or AML, who have a genetic mutation called FLT3. Also OK’d was a test to identify those patients. The drug, Rydapt, known chemically as midostaurin, is used along with chemotherapy.
“Prior to the approval of midostaurin, the treatment of AML had been relatively unchanged for more than 25 years,” Dr. Richard Stone of Dana-Farber Cancer Institute in Boston, said in a statement. He led testing of Rydapt, funded by the drug’s maker, Novartis Pharmaceuticals Corp.
Acute myeloid leukemia, a rapidly progressing cancer, forms in the bone marrow and disrupts production of blood cells and platelets. Each year in the U.S., the cancer kills more than 10,000 people and about 20,000 people are diagnosed with it, the National Cancer Institute estimates. About one-third of patients have the genetic mutation that Rydapt treats.
In a study of 717 patients, Rydapt combined with chemotherapy extended the time before the leukemia worsened or the patient died, compared to chemotherapy alone.
FDA also approved Rydapt for adults with three very rare blood disorders. Common side effects include fever, infections, vomiting, headaches and musculoskeletal and abdominal pain.
Novartis said the list price without insurance will be $14,990 for four weeks of treatment.
No Comment